075-391-1460

インプラント

インプラントを検討されている方へ

当院では、インプラント専門医による治療を行っております。インプラントとは、歯を失ってしまった方への最先端の治療です。抜けた歯を補う治療には入れ歯、ブリッジ、インプラント治療があります。インプラントは最先端の治療で、多くの要望に応えることができますが、以下の方々には特にオススメです。

1.「入れ歯になりたくない!」という方

抜けた歯を補う治療法は部分入れ歯・ブリッジ・インプラント治療があります。ブリッジでは両隣に支えとなる歯がなかったり、失ってしまった歯の本数が多いという理由で、支えられない場合があります。

例:一番奥の歯の欠損を、
部分入れ歯にした場合

仮に右上の奥2本が欠損になってしまった場合、インプラントか部分入れ歯になってしまいます。ここで部分入れ歯の施術を行うと・・・
手前の歯や反対側の左上に入れ歯を支える為のバネをかけられてしまった歯には、過度な負担がかかり最終的には抜けてしまいます。
このような場合は部分入れ歯か、インプラントのどちらかになってしまいます。
そして、入れ歯はどんどん範囲を拡大し、総入れ歯の道を歩み始めてしまうのです。

その他、入れ歯によって生じるデメリット

  • ✔入れ歯を外して清掃するのが紛らわしい
  • ✔入れ歯のバネが気になる
  • ✔嘔吐反射が強い方は長時間の装着が困難
  • ✔固いものが噛めず食事を楽しめない

部分入れ歯

  • ・バネなど見えて見た目が良くない
  • ・健康な歯を傷つける恐れがある
  • ・違和感がある
  • ・歯を失った部分の骨が痩せていく

総入れ歯

  • ・安定が悪いとズレやすい
  • ・固いものを噛むと歯茎を圧迫し痛みを感じる事がある
  • ・入れ歯と歯茎の間に物が挟まる
このようになりたくないという方には、
インプラントがオススメです。

インプラントを勧める理由

  • ・天然歯に近い見栄えです
  • ・顎の骨が、痩せほそるのを塞ぎます
  • ・自然に噛むことが出来、おいしく食べられます
  • ・インプラントを用いた入れ歯は天然歯に近いです
  • ・口元を気にせず自然に話す事が出来ます
  • ・入れ歯と異なりしっかり固定され、ズレなどの不快感を解消します

2.職業柄、発声や審美が気になる方

職業上、歯を失うことで大きな損失がある方もいらっしゃるかと思います。
人前で話す機会が多い方(特に講演をされる方、経営幹部の方)声を使った職業では、入れ歯やブリッジでも支障きたす可能性がありますし、審美を気にする職業の場合でも、全く支障が無いとは言えません。そういった職業の方にはインプラントが最適だと言えるでしょう。

3.ブリッジで両隣の健康な
歯を削りたくない方

ブリッジ治療:
ブリッジの土台にする為に虫歯がなくても両隣の健康な歯を削らなければいけません。神経を抜かなくてはいけない場合もあります。神経を抜いた歯は枯れ木と同じような状態になってしまい、長く使っているうちに歯の根が割れてしまうことがあります。歯を失ってしまうリスクは格段に高くなるのです
インプラント治療:
ボルトを直接埋め込むので、隣の歯を傷つけることなく
失ってしまった歯と同じ機能を回復することが出来るのです。

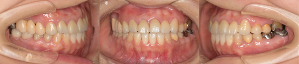
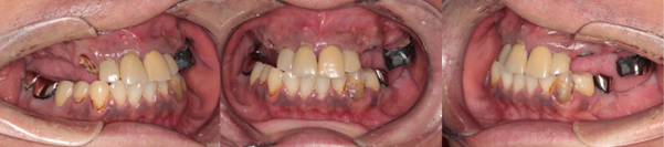
インプラント症例1

Before
インプラント症例1 治療前
After
インプラント症例1 治療後
年齢・性別
30代 男性
治療動機
「入れ歯が合わない。被せ物が取れた。結婚式までにインプラントにしたい。」とのことでした。
病歴
間食が多く、むし歯により欠損多数。入れ歯が入っていました。残存歯もむし歯になっていました。歯周病は罹患ありませんでした。
治療内容
喫煙習慣があったので、禁煙していただきました。患者様は大変熱心に習慣の改善に努められました。

上顎は全ての残存歯でむし歯が大きく、保存不可能でしたので抜歯して無歯顎状態にし、臼歯部は顎堤の委縮が著しかったためサイナスリフトを両側に行い、10カ月待機後、8本のインプラントを埋入し、7カ月待機後チタンとジルコニア製の上部構造を装着しました。

左下4、5歯は、上顎手術の待機期間を利用して治療を行いました。むし歯のため保存不可でしたので抜歯と同時に骨造成を行い、骨の治癒を待った後、左下4、6部に2本インプラントを埋入し、ブリッジタイプの上部構造を装着しました。

右下の臼歯もむし歯の為、本来は抜歯しなければならないのですが、患者様のご都合により、保存しています。
治療期間
約17ヶ月(抜歯からインプラント上部構造装着まで)
治療費概算
上顎約650万円、下顎171万円(いずれも消費税込み)
治療後の状況
無事に結婚式までに治療を終えることができました。見た目が大幅に改善されたこと、入れ歯に比べて噛みやすく、脱離もしないことを大変喜んでいただきました。インプラント周囲炎予防の為、患者様には口腔内清掃を毎日頑張ってもらっています。それから1〜3か月ごとにプロフェッショナルケアを行っています。
治療の注意事項
睡眠時の歯ぎしりや日中のくいしばりがあると、気づかないうちに歯やインプラントへ過剰な力がかかります。継続して歯や歯ぐきの状況を確認していくことが重要です。

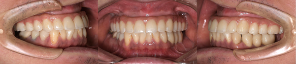
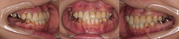
インプラント症例2

Before
インプラント症例2 治療前
After
インプラント症例2 治療後
年齢・性別
30代女性
治療動機
子育てが忙しく、むし歯を長年治すことができなかった。まだ授乳中だけれど、歯がどんどん悪くなるのを自覚して、危機感を持って来院されました。今後は自分の健康を大切にしたいとのことでした。
病歴
右下6、7歯はむし歯のために保存不可能でした。その他にも全顎的に虫歯が多発していました。右下のインプラント以外の治療については コチラ をご参照ください。
治療内容
右下6、7歯の抜歯と骨造成を行い、9カ月待機後インプラントを2本埋入、3カ月待機後チタン+ジルコニア製の上部構造を装着しました。
治療期間
14カ月
治療費概算
約126万円
治療後の状況
見違えるほど見た目が改善されたことを大変喜んでいただきました。患者様は大変モチベーションが高く、口腔内清掃を毎日頑張ってされています。それから1〜3か月ごとのメンテナンスには欠かさず来てくださっています。

治療方法・流れ

手術が完了するための流れをご紹介いたします。
インプラントの治療方法はいくつもありますが、ここでは一般的な方法で行う流れを説明いたします。

1.検査・治療計画の立案

インプラントの費用は他の歯科治療に比べ、かなり高額です。保険が適用されないということも大きな理由ではありますが、様々な検査を行うという事も費用が高くなってしまう大きな原因の一つです。
しかし、コストダウンのためにこれらの検査を省くことはできません。これ等の検査は安全にインプラントを行う為に必要不可欠なものなのです。
①お口の中の検査
治療計画を策定するための検査をさせていただきます。
  • ✔️虫歯、歯周病の有無
  • ✔️口腔内写真の撮影
  • ✔️かみ合わせの状態
②シュミレーション(55,000円)
当院ではインプラント専門医による治療を行っています。
  • ✔️レントゲン撮影(CTスキャンを含む)
  • ✔️血液検査
  • ✔️専用ソフトウェアを用いたシュミレーション
治療計画の策定
検査結果に基づき、あなたのお口の中に一番適した治療計画をご提案します。
  • ✔️何本のインプラントを使用するか
  • ✔️インプラントを行うのが難しい場合の対処法
  • ✔️治療期間、費用
  • ✔️インプラントの方法
治療計画が確定しましたら、『治療契約書』を作成し、治療に入ります。

2.必要に応じて予備治療

インプラントができる状態にするための治療を行います。
インプラントを入れる予定の歯を抜歯します。
また、重度の歯周病になっている歯がお口の中にある場合は、歯肉改善を行います。
インプラントを入れるのに顎の骨が足りない場合は各種再生治療を行います

3.必要に応じて再度CTスキャンと
専用ソフトによるシュミレーション

予備治療によってインプラントを埋入するのに十分に骨の厚みが出来たかを確認するために、
再度CTスキャンとシュミレーションを受けていただきます。当院では被ばく線量の少ない高画質で安全な歯科用CT装置を導入しています。一回あたり東京からニューヨークまでのフライトで受ける自然放射線と同程度の被ばく線量です。

4.一次手術(インプラント挿入)

①整形:
麻酔をし、埋める場所の歯肉を開き、骨を必要に応じて整形します。
②形成:
何度も方向を確認しながら、ガイドドリルで事前に決めた深さまで掘ります。
③広げる:
ガイドドリルのサイズを大きくしていき、決められた太さにひろげます。
④挿入:
完全に滅菌されたインプラントを専用の器具で掘った穴にいれます。
⑤完了:
蓋をし、開いた歯肉を閉じます。ここまでで、インプラントの埋め込みは終了です。
⑥完了:
前歯など外から見える所は仮歯を入れ、この状態で3カ月から4カ月程度の期間をおいて骨が完全に落ち着くのを待ちます。骨を増やす手術と同時に行った場合等はもう少し期間がかかることがあります。
手術後、通常の抜歯と同じ薬を出しますが、抜歯のような痛みはほとんどありません。
ご希望の場合、麻酔科認定医による静脈鎮静をしながら手術を受けることが出来ます。静脈鎮静を希望される方がほとんどです。ぼんやりと眠い状態(受け答えは出来ます)で手術を受けられ、術後は手術があっという間に終わったという感想を持たれる方が多いです。

5.二次手術

⑦連結:
二次手術ではインプラントの蓋をはずして、人工歯を取り付けるための部品を連結し、歯茎から露出させます。二次手術後、歯茎の形が整うまで2週間~4週間リハビリ期間を設けます。

6.歯の作製と装着

⑦作製・完成:
お口の中の型を採り、あなたに合った仮の歯を作製します。時間をかけてキレイな人工歯を完成にもっていきます。

リスクを伴うケース

以下のような方にはインプラントをすることにリスクが伴いますので
注意してください。

1.全身疾患の持病がある方

糖尿病:
血糖値がコントロールされ、安定している方は、インプラント可能です。コントロールされているとは、空腹時血糖値が100~140㎎/dlでヘモグロビンA1cが7%以下の状態であることをいいます。
高血圧:
成人では高血圧が160㎜以上、最低血圧が95㎜以上のどちらか、あるいは両方の場合は、止血異常が見られますので、高血圧の治療を優先します。但し降圧剤を服用している場合はこの副作用で歯肉炎になりやすいので要注意です。
狭心症:
最近1~2カ月間発作がないか、あっても軽度であればインプラント治療は可能ですが、発作頻度が増加している場合は避けた方が良いと思われます。
心筋梗塞:
発作後6カ月以上経過し、他に問題がなければ可能ですが、主治医にしっかりとご相談ください。また、十分な全身管理が必要となります。
貧血:
貧血の方はインプラントと骨が結合しにくいとされています。治療前に貧血の治療が必要です。
骨粗鬆症:
骨密度を測定して適応症を選択します。
※ビスフォスフォネート製剤を服用中の方は、内科医と相談する必要がありますので、必ず申告してください。
心臓疾患、不整脈:
麻酔薬を使用することの出来ない場合は、インプラント手術を行うことは出来ません。
コントロール出来ない出血傾向:
※その他、免疫疾患のある方や手術に耐えられない方など。

2.咬み合わせに問題のある方

咬み合わせがズレていたり、歯ぎしりや喰いしばりが強い方は、インプラントがダメになってしまう危険性がとても高いです。なぜなら、インプラントには歯根膜というクッションがありませんので、歯ぎしりや喰いしばりの力がもろに歯槽骨に伝わってしまい、インプラントと歯槽骨との結合を外してしまうリスクが高いからです。
実際、インプラントが失敗するケースのかなりの割合が歯ぎしりと喰いしばりの強い方なのです。インプラント治療の前に咬み合わせの改善を行ったり、歯ぎしりのある方は就寝時にマウスピースの装着が必要になります。

3.インプラントを入れる部分の骨の質や
量に問題のある方

骨粗鬆症の方は骨の密度が低いために、インプラントと骨との結合が上手くいかないリスクがありますので、大丈夫かどうかの自前の検査が必要です。また、インプラントを入れる周囲の骨の量が少ないとインプラントが失敗してしまうリスクが高いため、骨を再生させる治療が必要になります。

4.歯周病のある方

歯周病は歯を支えている歯槽骨が破壊されていく病気です。インプラントはその歯槽骨に入れることになりますので、重度の歯周病の状態でインプラントを入れることはインプラントが失敗するリスクをかなり高めることになります。
歯周病の治療を行い、歯周病が改善されればインプラントが可能になります。また、インプラントをするまでに患者様のブラッシングの状態がよくなっていないとインプラントをした後にインプラント周囲炎になってしまい、インプラントが失敗するリスクが高くなるので患者様のブラッシングも改善することはとても重要です。
インプラントをされてなくても、定期メンテナンスは必要ですが、インプラントをされたら更にメンテナンスをしっかりしないといけません。定期的にされた後でも通ってくださいね。

5.妊娠中の方

妊娠中の方や妊娠のご予定のある方は、レントゲン撮影や麻酔をすることができませんので、インプラント治療ができません。しかし、出産後はインプラント治療を受けることは可能です。

インプラントの料金

インプラント料金について、下記表をご参照ください。

佐々木歯科医院 AIチャット